Korszerű orvosi technológiával bővül a Szatmár Megyei Kórház: célzott diagnózis a prosztatarák korai felismerésére

A prosztatarák napjainkban a férfiakat érintő leggyakoribb daganattípus, ezért kiemelten fontos a korai és pontos diagnózis.
A Szatmár Megyei Sürgősségi Kórház a mai napon egy jelentős technológiai fejlesztést jelentett be: a urológiai osztályon már elérhető a modern, nagy pontosságú RMN-fusion biopsziás eljárás.
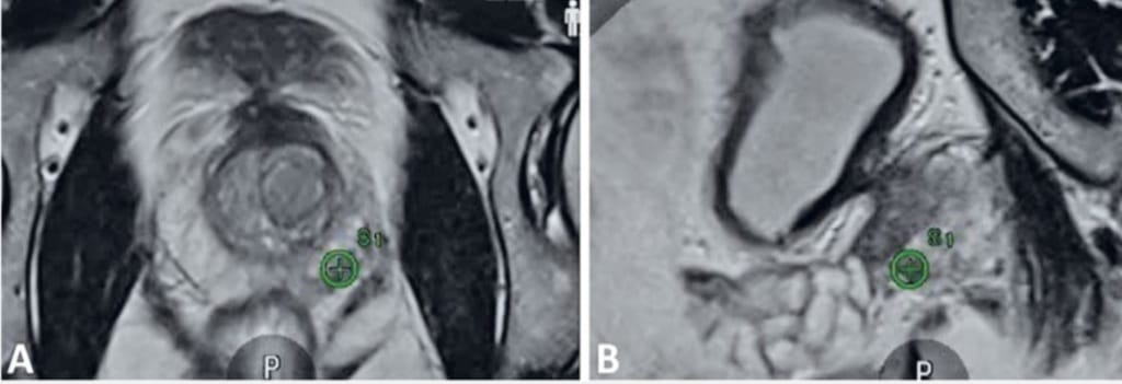
Az új technika a multiparametrikus MRI-vizsgálat képeit ötvözi a valós idejű, transzrektális ultrahangvezetéssel. A speciális szoftver a két képanyagot egy háromdimenziós, rendkívül részletes térképpé alakítja, így az orvosok pontosan tudják meghatározni, mely prosztataterületekről szükséges mintát venni. Ez jelentős előrelépés a korábbi, úgynevezett „vakon” végzett biopsziákhoz képest, hiszen a célzott szövettani mintavétel lényegesen növeli a diagnózis megbízhatóságát.

A beavatkozást a kórház Fujifilm Arietta 880 típusú ultrahangkészülékével végzik, általános intravénás altatásban, egynapos kórházi ellátás keretében. A páciens általában gyorsan felépül, a vizsgálatra pedig háziorvosi beutaló és előzetes urológiai konzultáció alapján lehet jelentkezni.

A módszer fontos előnye, hogy a PIRADS-pontszám alapján korábban gyanúsnak ítélt elváltozásokat célzottan lehet vizsgálni. Ennek köszönhetően az orvosi csapat sokkal pontosabban tudja meghatározni a további kezelési irányt – legyen szó aktív megfigyelésről, fókuszált beavatkozásról vagy akár radikális terápiáról. A technológia egyszerre biztosít nagy precizitást, biztonságot és kényelmet, ezzel erősítve a korszerű képalkotó diagnosztika szerepét a korai felismerésben.
A Fujifilm Arietta 880 készülék további előnyöket is kínál az urológiai ellátásban: segítségével végezhetők vesebiopsziák, perkután nefrosztómák beültetése vizeletelvezetési akadály vagy szepszis esetén, valamint különböző, több testtájékon kialakuló tályogok ultrahangvezérelt drenázsa – lombáris, transzrektális vagy transzperineális megközelítéssel.
A kórház külön köszönetet mondott a kolozsvári Ametyst Klinikának, amely jelentős mértékben hozzájárult az endorektális, biplán szonda beszerzéséhez. Ennek segítségével válhatott teljessé a prosztata-biopsziák RMN-fusion technológiája a Szatmár Megyei Kórházban.










.gif)
.gif)


